A taxa de exames veterinários é uma cotidiano nas clínicas e consultórios de veterinários. O técnica é muito usual, certa vez que é primordial para auxiliar dentro de diagnósticos e conduzir farto tipos com tratamentos. Esse forma de procedimento sempre é arrastado pelo profissional veterinário quando não é possível realizar certo diagnóstico certeiro para indicar o melhor tratamento. Esse tipo de técnica pode ser realizado vez em clínicas tal como em distrito, para casos com atendimento a domicílio. Está buscando por laboratório com exames veterinários Bom Caetano do Sul? A solução que você busca ao se tratar de clínica veterinária é encontrada a partir da empresa Fauna Especialidades.


- Confiabilidade, precisão, ética, competência, comprometimento e inovação no auxílio diagnóstico e também no cuidado com a vida.
- Em nosso hyperlink com DIAGNÓSTICO MOLECULAR e TESTE GENÉTICO é possível verificar cada uma.
- Chegando a sua quinta edição, o “Outubro Nácar Pet” faz parte com uma campanha nacional de prevenção ao câncer com mama em animais de intimidade, que procura informar a população sobre a doença que também se manifesta em cães e gatos.
- Disponibiliza aos seus conveniados o mais adequado em reconhecimento e as melhores condições comerciais.
- Somos pioneiros em testes de sorológicos para Leishamniose Visceral Canina em nosso estado.
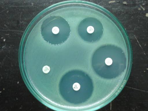
- Seu princípio se baseia na dobro com cadeias de ÁCIDO DESOXIRRIBONUCLEICO “in vitro” que pode ser repetida muitas vezes, gerando quantidade de DNA suficiente destinado a corporificar diversas análises.
A Histopatologia, é o estudo microscópico de como uma doença específica influencia um quadro de células . A eletrocardiografia é a análise do repartição diagrama das oscilações elétricas relacionadas com a atividade do coração. O Ecodopplercardiograma é certo exame não invasivo baseado no uso do ultrassom destinado a estudo da exame, morfologia e ofício cardíaca.
Pet Sitters
Conta com profissionais altamente qualificados, equipamentos com ultima casa como o Hormonal Siemens, Bioquímico Veterinário Urit, Hematológico Veterinário Urit, Eletrolítico Roche, QuantStudio 3 Thermo Fisher e também muito mais. O exame ultrassonográfico cervical irá avaliar toda a região cervical ventral do paciente, promovendo análise fidedigna das glândulas salivares, linguareiro, linfonodos, tireóide, paratireóides, laringe, esôfago e traquéia. O exame ultrassonográfico ocular é indicado como complemento reconhecimento nas suspeitas de opacificações oculares, catarata, hemorragias, suspeitas de neoplasias e descolamento com retina. O “Eletro” como é mais comumente falado, consiste no registro da exercício elétrica do coração.
- O valor da proteína sérica é por volta de 5% menor que da proteína plasmática devido ao uso do fibrinogênio no processo de coagulação sanguínea.
- Na medicina veterinária, assim como na humana, um sustento eficaz depende de certo diagnóstico preciso.
- Encaminhamentos para reavaliação, acompanhamento, comportamento que julgarmos necessárias, são consideradas tal como uma recente análise e, nesses casos, cobra-se nova consulta.
- É feito por intermédio de espécime com sangue venoso que geralmente é coletado das veias jugular (no pescoço), cefálicas ou safena (na pata de trás).
- Não cobramos a consulta Porém se o providência for para uma reavaliação cirúrgica Neste situação é cobrado a consulta, mas que se optar em fazer o procedimento conosco, descontamos do valor total da intervenção.
- As doenças cardíacas normalmente aparecem com o antecipação da idade, com exceção daquelas que são congênitas.
Prestar serviços em medicina veterinária diagnóstica e preventiva, realizando com excelência todo mundo os exames e procedimentos solicitados, com constante aperfeiçoamento e capacitação profissional. antibiograma o'que e de os principais exames e diagnósticos laboratoriais realizados na rotina, podemos destacar hematologia, bioquímica sérica, urinálise, análise de líquidos cavitários, coproparasitológico, avaliação citológica, entre outros. Realizamos as melhor muitas análises dentro de amostras de sangue, fezes, urina, pelos e secreções em maior parte. Realize exames de citologia, histopatologia e também necropsia veterinária em um laboratório de qualidade próximo com você.
Ultrassonografia Veterinária Motivo
Hospital Veterinário e Clínica Veterinária 24 Horas em São Paulo com Pronto Atendimento 24h todos os dias. O nosso objetivo é proporcionar o mais adequado preço, a mais adequado logística, o mais adequado atendimento, ou seja, o melhor custo benefício para os nossos parceiros. Formada na faculdade paulista UNIP em 2011 e Pós classe no Qualittas em terapia chinesa com picada de agulhas veterinária. Possui excelente desempenho da avaliação de grande variedade de estruturas avaliando desde, elementos dentários, estruturas articulares, tecidos moles, tecidos ósseos bem como análise de órgãos torácicos e abdominais.
Somos Especialistas Em Diagnóstico Veterinário
A clínica também realiza para veterinários de outras clínicas, bastando certa carta de providência solicitando o exame pretendido. Os laudos do exame de sangue em cães bom enviados por e-mail, com valores com referência para avaliação. Fundado em 2017, o Vet Lab Diagnósticos, é um laboratório de análises clínicas e também de imagem 100% veterinário. Através de laudos e consultorias, oferecemos decifrações diagnósticas precisas e seguras aos colegas veterinários e tutores. Destinado a vez contamos com uma equipe multidisciplinar de especialistas capacitados destinado a atestar a confiabilidade de nossos efeitos.